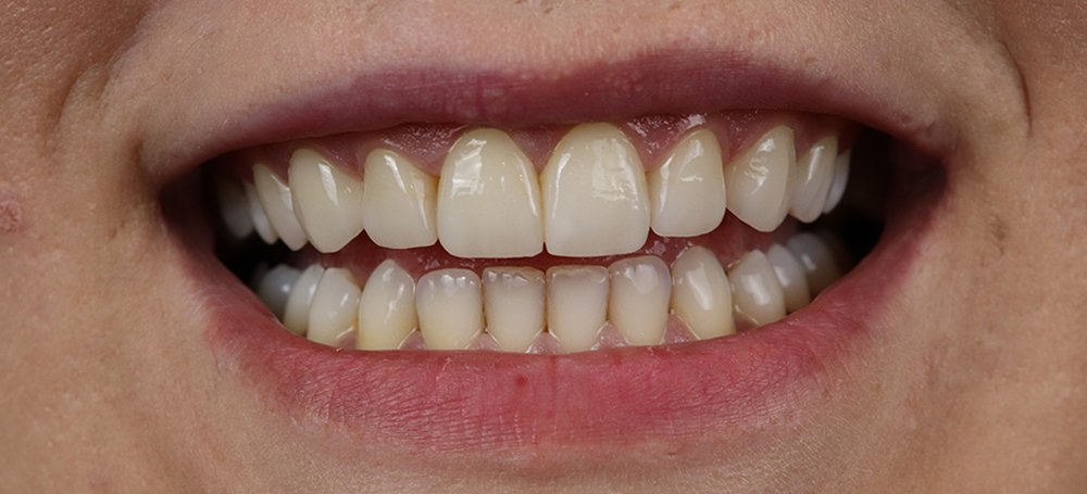
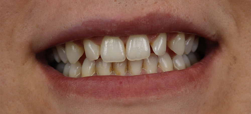
Anasayfa Galeri Öncesi ve Sonrası
30 dakikalık ücretsiz çevrimiçi video ve telefon danışmanlığı. Sanal ziyaretinizi planlayın.